Prime Facial Plastic Surgery logo
Face
Nose
Hair
Non-Surgical
Pricing
Precios
Gallery
(301) 302-7272
Menu
Face
Brow Lift
Buccal Fat Removal
Chin Implant
Deep Plane Facelift
Earlobe Repair & Reduction
Facelift
Facial Fat Transfer
Hairline Lowering
Lip Lift
Lower Eyelid Surgery
Endoscopic “Ponytail” Facelift
Neck & Chin Liposuction
Neck Lift
Otoplasty (Ear Pinning)
Upper Eyelid Surgery
Nose
Rhinoplasty
Non-Surgical Rhinoplasty
Nostril Reduction
Revision Rhinoplasty
Hair
Beard Transplant
Eyebrow Transplant
FUE Hair Transplant
FUT Hair Transplant
Hair Transplant
Hairline Lowering
PRP Hair Treatment
Non-Surgical
BOTOX & Wrinkle Relaxers
Chemical Peels
Dermal Fillers
Lip Fillers
Lip Flip
Liquid Facelift
LightStim Red Light Treatment
Microneedling
PRP Injections
UltraClear® Laser Resurfacing
Pricing
Precios
Gallery
About
Jigar Sitapara, MD
Prime Facial Plastic Surgery
Plastic Surgery Center
Resources
Articles
Patient Resources
Out of Town Patients
Current Promotions
Pre & Post Op Instructions
Contact
Online Booking
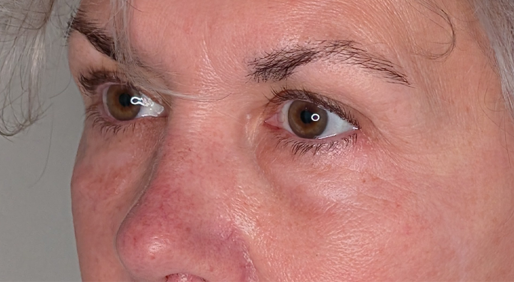
Patient Case #5790
Lower Eyelid Surgery gallery
Procedure
Go to procedure
Next
Before
After
Discover Restoration & Balance
Schedule a
consultation
Call
Text
Email
Results
Please ensure Javascript is enabled for purposes of
website accessibility